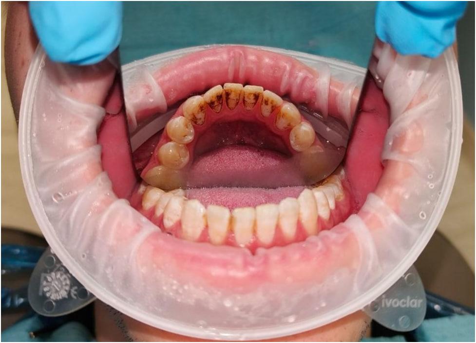
Профессиональная гигиена полости рта
С помощью индикатора налета выявляются наименее очищенные поверхности зубов






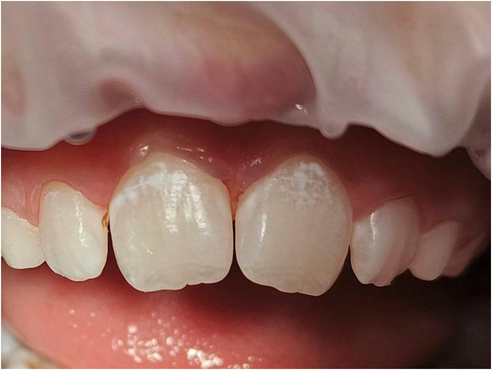
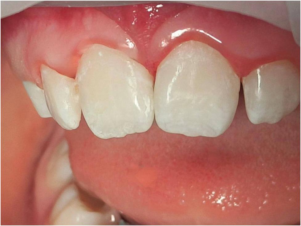
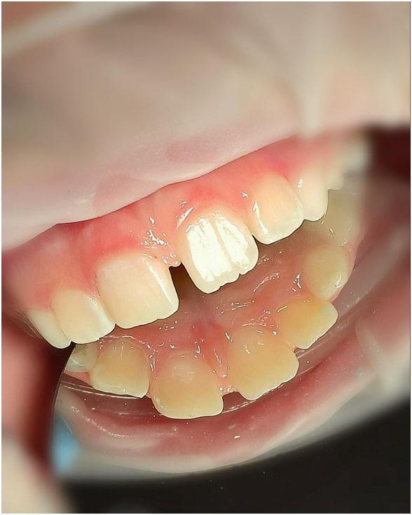
Лечение начальных форм кариеса, некариозных поражений (гипоплазии, флюороза) методом инфильтрации, микроабразии без бормашины






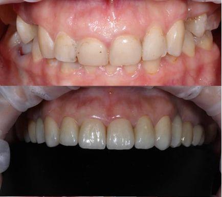
Восстановление зубов пломбировочным материалом





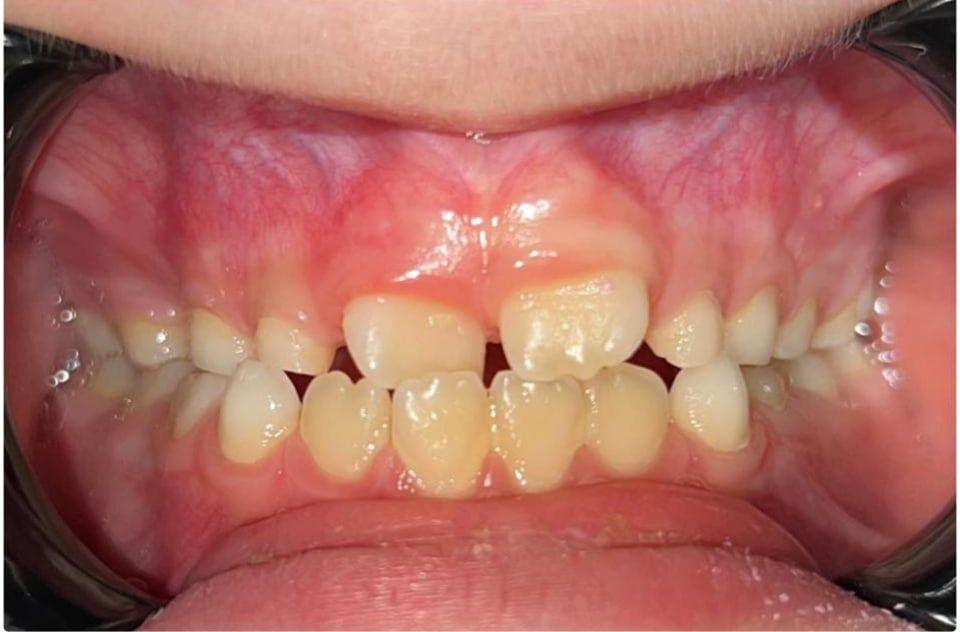
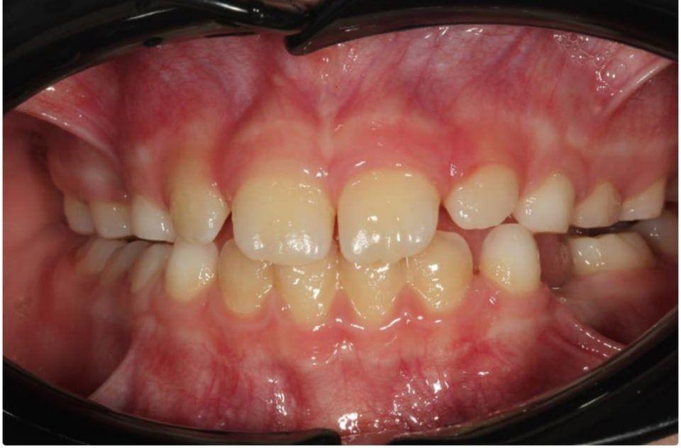
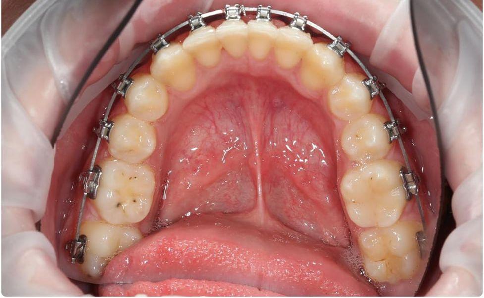
Ортодонтическое лечение




Удаление зубов, имплантация



Протезирование
Совместная работа врача стоматолога-хирурга и стоматолога-ортопеда




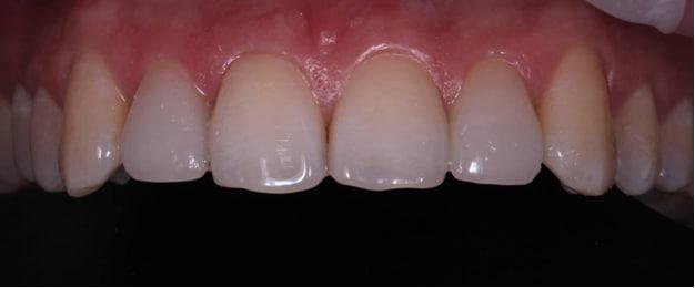
Восстановление атипичной формы зуба с помощью коронки


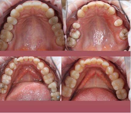
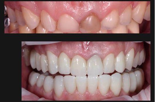
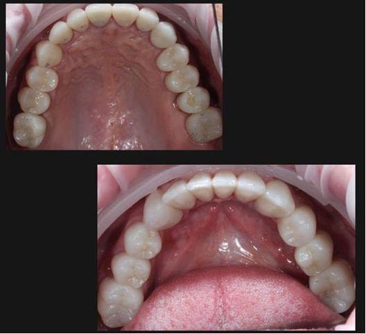
Тотальное протезирование




Совместная работа врача стоматолога-хирурга, стоматолога-ортопеда, ортодонта.




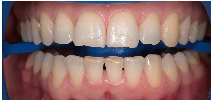
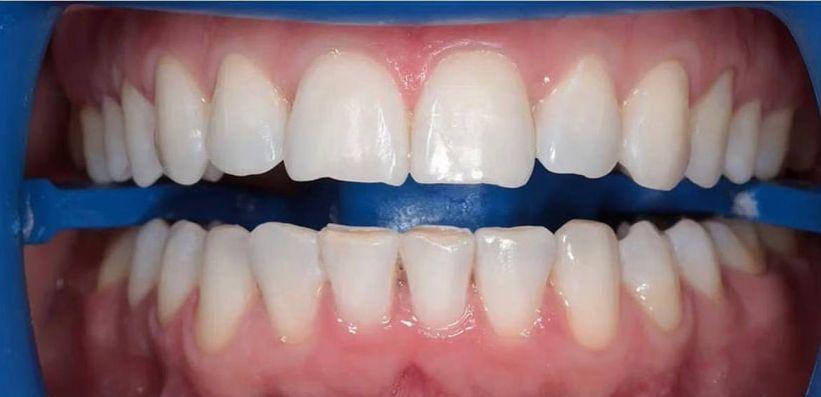
Отбеливание системой ZOOM 4




Сияйте!



